Grâce à la photographie numérique, vous pourrez vérifier la qualité et classer quasi instantanément vos photos numériques. Mais un appareil photo, même très performant, est complètement inefficace sans un excellent éclairage.

C'est pourquoi TechTonique a développé, avec la collaboration d'un orthodontiste, un éclairage annulaire appelé LedDent pour la photographie macro en orthodontie. Le LedDent est composé de 204 leds blanches 5mm les plus performantes du marché. Un éclairement très puissant d'environ 20'000 Lux est essentiel, car cela permet de fermer le diaphragme et par conséquent d'augmenter sensiblement la profondeur de champ. La position et l'inclinaison des leds a été optimisée par simulation pour créer une lumière homogène sur toute la surface de prise de vue entre 3 et 20cm de distance. Ci-dessous le LedDent sorti de son boîtier, ainsi qu'une simulation de l'éclairement en fonction de la distance de la cible et de la distance à l'axe optique (rayon cible).

Le LedDent est conçu pour les appareils Nikon Coolpix 900, 950, 990, 995, 4500; d'excellents appareils compacts pour la photographie macro et plus particulièrement la photographie en orthodontie. Un petit support en aluminium vissé sur l'appareil et muni d'une bonnette (close-up) pour la macro, vous permet de mettre et enlever rapidement le LedDent. Si vous désirez l'utiliser avec un autre appareil, n'hésitez pas à nous contacter !

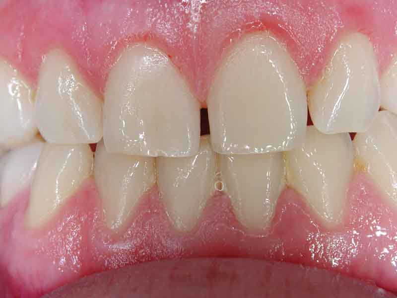
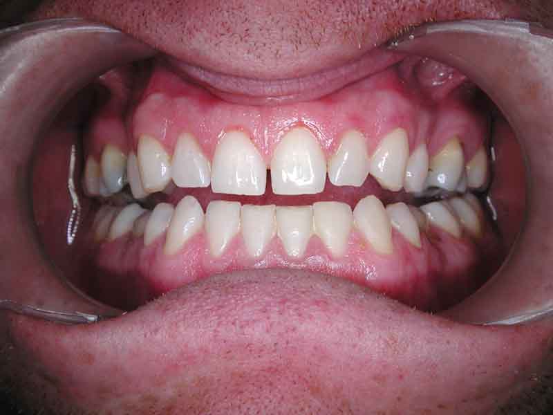
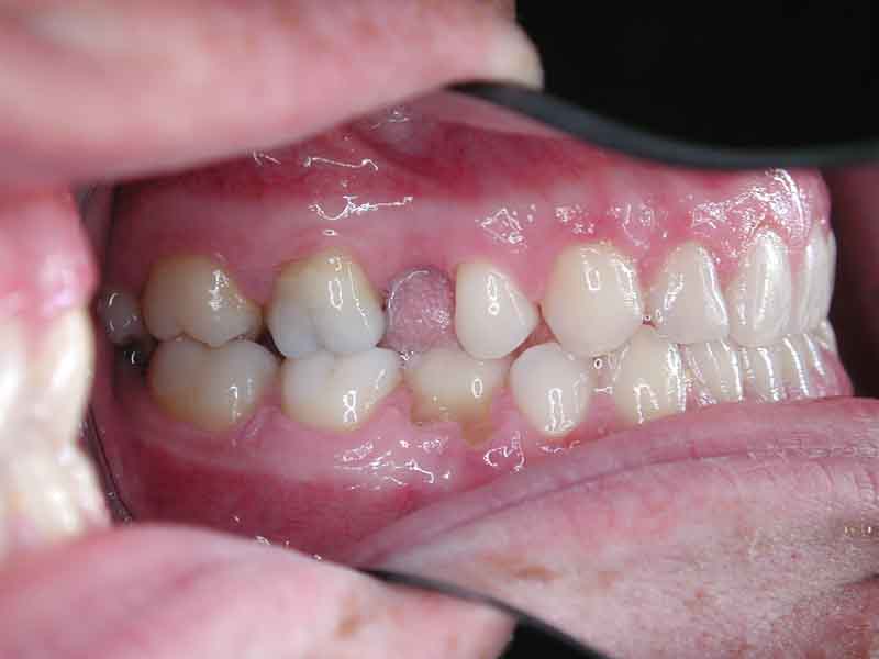
Même si le LedDent a été développé spécifiquement pour la photographie en orthodontie, il est adapté pour la majorité des éclairages en photographie macro, comme par exemple en dermatologie. Observez la qualité de la lumière sur les photos ci-dessous (photos en basse résolution)!

 

Spécifications

  En construction...

Commande

Pièce Type Description
LedDent LD Anneau lumineux de 204 leds blanches
Support M28 + bonnette (lentille close-up) pour l'orthodontie
pour Nikon Coolpix 900, 950, 990, 995, 4500
Alimentation secteur entrée 85-264VAC sortie 24VDC
Anneau lumineux LD204 Anneau lumineux de 204 leds blanches
Support M28 LDM28 Support M28 + bonnette (lentille close-up) pour l'orthodontie
pour Nikon Coolpix 900, 950, 990, 995,4500
Alimentation LD24V Alimentation secteur entrée 85-264VAC sortie 24VDC


N'hésitez pas à nous contacter pour des informations complémentaires.

 

Commande

Pour commander, un email suffit!
Pour la Suisse, les frais de port et d'emballage sont de CHF 14.- . Pour les pays voisins, ils sont de EURO 22.- . N'oubliez pas que la TVA du pays de destination doit être ajoutée au prix total. Le payement se fait après la réception de la marchandise dans un délais de 30 jours, sur un compte postal ou sur un compte bancaire.